My Image

Portfolio

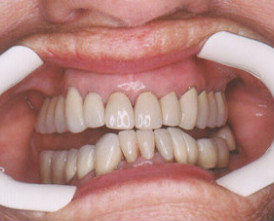
Veneers--Visual Magic

Your front teeth play a major role in that important first impression. Veneers can brighten your smile, cover chips, gaps and contour -- visually straighten those teeth. Today's veneers are ultra-thin, fashioned from translucent natural looking ceramic that can be tinted to match your teeth. It's a two-step process. In the first visit we remove a thin layer of enamel and take an impression of your teeth. On the second visit we'll fit individually each veneer to the front of each tooth and bond them in place. Custom brightness, new symmetry, new beautiful you. Smile!

5414 Alpha Road • Dallas, TX 75240 • Phone: 214-272-9237 • Fax: 214-272-9642

  5414 Alpha Road • Dallas, TX 75240 • Phone: 214-272-9237 • Fax:214-272-9642• Email: jm@jerryshipleydds.com

HomeAbout UsServicesFAQs & ArticlesPortfolioContact Us

My Image
My Image
My Image
My Image

Whitening - whitening is a fast and easy way to improve your smile.

My Image
My Image

Implants - Implants are a wonderful way to replace a single or several missing teeth. Implants are the preferred method of replacement to aid in retaining your bone structure.

My Image
My Image

Before

Before

Before

Before

After

After

After

After